Đặc điểm lâm sàng và điều trị ung thư âm đạo cho phụ nữ tiền mãn kinh

MỤC LỤC

MỤC TIÊU NGHIÊN CỨU

TOÅNG QUAN

  • CHẨN ĐOÁN
    • ẹIEÀU TRề

      Xếp giai đoạn phẫu thuật cho ung thư âm đạo ít được dùng hơn ung thư cổ tử cung, nhưng riêng một số bệnh nhân tiền mãn kinh, mổ bụng thám sát trước điều trị cho phép xác định tốt hơn độ lan của bệnh, nạo vét bất kỳ hạch bạch huyết phình to nào, và treo buồng trứng lên, vượt ra ngoài vùng chiếu xạ[38]. Chyle và cộng sự nhận thấy tỷ lệ tái phát tại chỗ và di căn xa cao hơn khi bướu lớn hơn 5 cm[25]; Kirkbride và cộng sự báo cáo kết quả sống còn tốt hơn ở những bệnh nhân có bướu nhỏ hơn 4 cm[55]; Stock và cộng sự cho thấy kết quả sống còn tốt hơn khi bướu giới hạn ở 1/3 vách âm đạo. Một sổ đăng ký cho nghiên cứu về hormon chất sinh ung qua nhau đã được thiết lập bởi Herbst và Scully vào năm 1971 để điều tra các khía cạnh lâm sàng, bệnh học, và dịch tễ học của carcinôm tuyến tế bào sáng của âm đạo và cổ tử cung xảy ra ở phụ nữ sinh sau năm 1940 (trong những năm này khi DES được dùng để duy trì những thai kỳ nguy cơ cao sẩy thai).

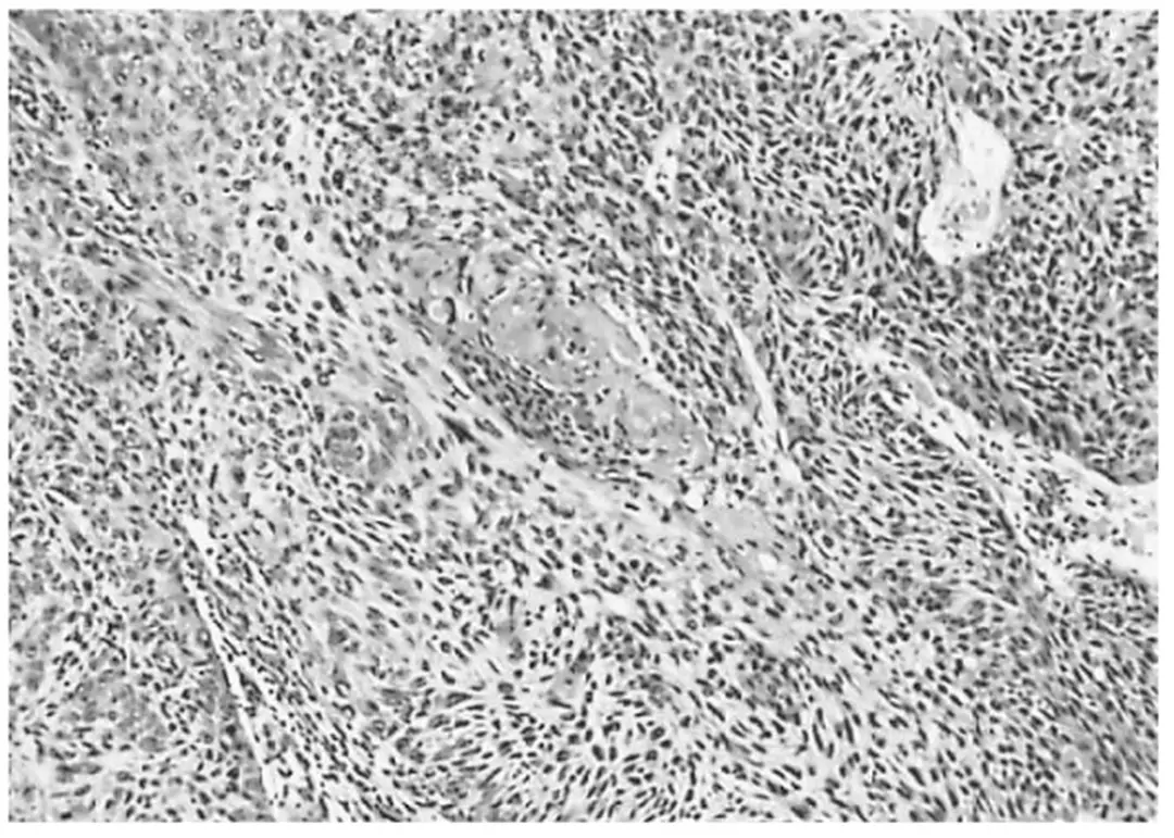
      Hình 1.2: Carcinôm tế bào gai của âm đạo
      Hình 1.2: Carcinôm tế bào gai của âm đạo

      PHƯƠNG PHÁP NGHIÊN CỨU

      • BIẾN SỐ NGHIÊN CỨU Được chia làm 2 nhóm chính
        • QUY TRÌNH ĐIỀU TRỊ UNG THƯ ÂM ĐẠO .1 Phẫu thuật

          Theo nghiên cứu của các tác giả thì tỷ lệ % tái phát sau điều trị ung thư âm đạo tính chung dao động từ 0 đến 17%, tựy thuộc vào cỡ mẫu, thời gian theo dừi, giai đoạn bệnh lỳc điều trị. Sử dụng phương pháp phân tích hồi qui đa biến để xem có tương quan hay không giữa mỗi biến số độc lập với kết quả điều trị, tái phát, di căn, sống còn[51]. Chỉ định cho bệnh nhân ung thư âm đạo giai đoạn I hoặc IIA, tổn thương khu trú ở 2/3 trên vách âm đạo, kích thước tổn thương ≤ 2cm.

          Nếu kết quả giải phẫu bệnh cho thấy các bờ phẫu thuật không còn tế bào ung thư, hạch vùng không bị di căn: theo dừi định kỳ. Tất cả bệnh nhân ung thư âm đạo không có chỉ định phẫu thuật như: tổn thương ≥ 2cm, bệnh lý nội khoa, không đồng ý phẫu thuật. Trường chiếu: 2 trường chiếu song song, đối xứng trước-sau và sau-trước; hay kỹ thuật 4 trường chiếu trước-sau, sau-trước và bên-bên, toàn phần vùng chậu.

          Trường chiếu: : 2 trường chiếu song song, đối xứng trước-sau và sau-trước, vào tử cung – âm đạo; và 2 trường chiếu trước-sau vào hạch bẹn 2 bên. Lập kế hoạch điều trị bằng phần mềm PLATO, liều chuẩn vào điểm A mỗi bên 7 Gy, có thể tối ưu hóa liều cá nhân bằng thay đổi vị trí và thời gian dừng của các điểm nguồn.

          UNG THƯ ÂM ĐẠO

          ĐÁNH GIÁ KẾT QUẢ

          Theo dừi tỏi khỏm định kỳ mỗi thỏng một lần trong 3 thỏng đầu sau khi xuất viện, nếu ổn định sẽ tái khám 2 tháng một lần trong sáu tháng kế tiếp; và 3 tháng một lần trong các tháng tiếp theo. Đáp ứng một phần: Giảm trên 50% kích thước tổn thương trong thời gian ngắn nhất là 4 tuần, không tổn thương di căn mới, không tổn thương tiến triển ở bất cứ vị trí nào. Không thay đổi: Giảm dưới 50% kích thước tổn thương, tăng bằng hoặc dưới mức 25% kích thước ở một hoặc nhiều vị trí tổn thương trong thời gian ngắn nhất là 4 tuần.

           Tiêu chuẩn chẩn đoán tái phát: bệnh nhân được hoàn tất quá trình điều trị ung thư âm đạo, và không ghi nhận bướu còn sót lại tại chỗ, tại vùng. Các tổn thương nghi ngờ tái phát được chẩn đoán bằng lâm sàng, các phương tiện hình ảnh ( siêu âm, soi cổ tử cung âm đạo. .) và có kết quả giải phẫu bệnh, 6 tháng sau khi hoàn tất việc điều trị.  Tiêu chuẩn chẩn đoán tử vong: bệnh nhân được xem là tử vong nếu trong hồ sơ bệnh án ghi nhận là tử vong ở lần khám cuối cùng, thông tin bệnh nhân tử vong có thể do thân nhân bệnh nhân thông báo hoặc trả lời qua thư theo dừi bệnh.

           Thời gian sống còn không bệnh là thời gian từ lúc bắt đầu điều trị ung thư đến khi được chẩn đoán tái phát hoặc di căn, hoặc tử vong do bất cứ nguyên nhân nào.  Thời gian sống còn không tái phát là thời gian từ lúc chẩn đoán ung thư đến khi được chẩn đoán tái phát tại chỗ , tại vùng hoặc tử vong do bất kỳ nguyên nhân nào[51].

            SOÁ CA

            CHẨN ĐOÁN

               Triệu chứng thường gặp trong đa số các trường hợp là xuất huyết âm đạo (XHÂĐ) bất thường sau mãn kinh, sau giao hợp, chiếm tỷ lệ 76,7%.  Các triệu chứng khác khiến bệnh nhân đi khám là có cảm giác bướu trong âm đạo, đau nặng vùng hội âm, bí tiểu chiếm tỷ lệ ít hơn.  Thời gian phát hiện bệnh khiến bệnh nhân đi khám bệnh sớm nhất là 1 tháng và lâu nhất là 10 tháng.

               Không ghi nhận tổn thương ở 1/3 dưới sau và 1/3 trên trước của âm đạo trong loạt khảo sát này.  Có 20,6% tổn thương ung thư tại diện cắt âm đạo do mổ cắt tử cung vì một bệnh lành tính trước đó.  Dạng tổn thương thường gặp nhất là khối chồi sùi trong âm đạo, rất dễ chảy máu khi đụng vào, chiếm tỷ lệ 68,1%.

              Đây là một khối cứng xâm nhiễm xuống dưới lớp niêm mạc âm đạo và tạo thành khối, chiếm tỷ lệ 15%.  Dạng hỗn hợp là tổn thương vừa sùi vừa loét, hoặc vừa loét vừa thâm nhiễm cứng.

              Grad 2

                Trong loạt nghiên cứu này, giai đoạn lâm sàng gặp được từ giai đoạn IIA đến giai đoạn IVB. Số trường hợp di căn hạch chậu đều có tổn thương ở 2/3 trên của vách âm đạo.

                UNG THệ AÂM ĐẠO

                BÀN LUẬN

                • CHẨN ĐOÁN
                  • ẹIEÀU TRề
                    • KẾT QUẢ ĐIỀU TRỊ

                      Mặc dù đây là loại bệnh ung thư phụ khoa hiếm gặp, nhưng số trường hợp phát hiện và điều trị tăng dần theo từng năm, có lẽ do Bệnh Viện Ung Bướu thành phố Hồ Chí Minh là nơi có điều kiện tiếp nhận đa số các bệnh ung bướu nói chung, trong đó có bệnh ung thư âm đạo. Từ đó xem thường các triệu chứng báo động như xuất huyết âm đạo bất thường, khí hư âm đạo kéo dài… và sẽ tự điều trị bằng các phương pháp không đúng quy cách, khiến cho khi bệnh nhân đến với thầy thuốc chuyên khoa thì bệnh thường ở vào giai đoạn trễ và tổn thương đã tiến xa, ảnh hưởng rất xấu đến kết quả điều trị sau này. Bờn cạnh đó, mạng lưới phòng chống ung thư đang trong quá trình hình thành ở các bệnh viện đa khoa tuyến tỉnh, với những lý do đó khiến cho bệnh nhân khi đến với Bệnh viện Ung Bướu thường thì vào những giai đoạn bệnh đã tiến xa.

                      Tình trạng kinh nguyệt của bệnh nhân hoàn toàn phù hợp với khoảng tuổi thường gặp của nghiên cứu là 50 – 59 tuổi và cũng phù hợp với khoảng tuổi ghi nhận được của các tác giả: Ung thư nguyên phát của âm đạo thường xuất hiện ở phụ nữ lớn tuổi, 70% - 80% trường hợp trên 60 tuổi. Tác giả Schockaert S và cộng sự tại Khoa Sản Phụ khoa thuộc Bệnh Viện Đại Học Gasthuisberg, Leuven Bỉ cho thấy: Cắt tử cung toàn phần vì bị CIN thường được xem là điều trị tận gốc cho CIN, nhưng có thể sau đó sẽ bị VaIN với tỷ lệ thay đổi là từ 0,9 đến 6,8%[83]. Từ những lý do đã nêu ở phần đầu như: trình độ văn hóa của người bệnh thấp, mạng lưới phòng chống ung thư ở bệnh viện đa khoa tuyến tỉnh đang hình thành và phát triển, sự hạn chế về giao thông do bệnh nhân thường ở các tỉnh xa, đa số bệnh nhân thuộc thành phần kinh tế xã hội thấp… đã ảnh hưởng rất lớn đến thời gian phát hiện bệnh.

                      Chyle và cộng sự nhận thấy tỷ lệ tái phát tại chỗ và di căn xa cao hơn khi bướu lớn hơn 5cm; Kirkbride và cộng sự báo cáo kết quả sống còn tốt hơn ở những bệnh nhân có bướu nhỏ hơn 4cm; Stock và cộng sự cho thấy kết quả sống còn tốt hơn khi bướu giới hạn ở 1/3 vách âm đạo[72]. Trong nghiên cứu của chúng tôi, các bệnh nhân được xếp giai đoạn lâm sàng bằng khám lâm sàng cẩn thận, làm huyết đồ, khảo sát siêu âm vùng bụng chậu, chụp X quang phổi, soi bàng quang, soi trực tràng, và có chẩn đoán giải phẫu bệnh xác định. Tuy nhiên một số nghiên cứu cho thấy rằng muốn đạt được kết quả tốt, phẫu thuật phải đủ rộng và phải chuyển đổi vị trí đường tiểu cũng như đường tiêu, vì vậy xạ trị với trường chiếu đủ rộng có thể thay thế phẫu thuật vẫn bảo đảm kết quả điều trị và cải thiện chất lượng cuộc sống cho người bệnh.

                       Các yếu tố khác như: giai đoạn lâm sàng, tuổi bệnh nhân, vị trí tổn thương, thời gian phát hiện, phương pháp điều trị, dạng đại thể, vi thể, độ mô học không liên quan có ý nghĩa thống kê đến tái phát tại chỗ tại vùng.

                      Hình 4.2: Thăm khám phụ khoa
                      Hình 4.2: Thăm khám phụ khoa

                      KIEÁN NGHề

                       Kết quả điều trị sớm cho thấy:. Tái phát, di căn xa, sống còn:.  Di căn xa trong nghiên cứu này là 6,8%, thường gặp là hạch trên đòn trái. 1) Nên khám phụ khoa định kỳ cho bệnh nhân đã có tiền sử mổ cắt tử cung trước đó vì một bệnh lành tính để phát hiện sớm ung thư âm đạo. 2) Việc điều trị ung thư âm đạo nên áp dụng phương pháp kết hợp đa mô thức: phẫu thuật + xạ trị. Hoặc xạ trị đơn thuần ( gồm xạ trị ngoài và xạ trị trong ). 3) Theo dừi tỏi khỏm định kỳ thường xuyờn cho bệnh nhõn sau điều trị theo lũch heùn.